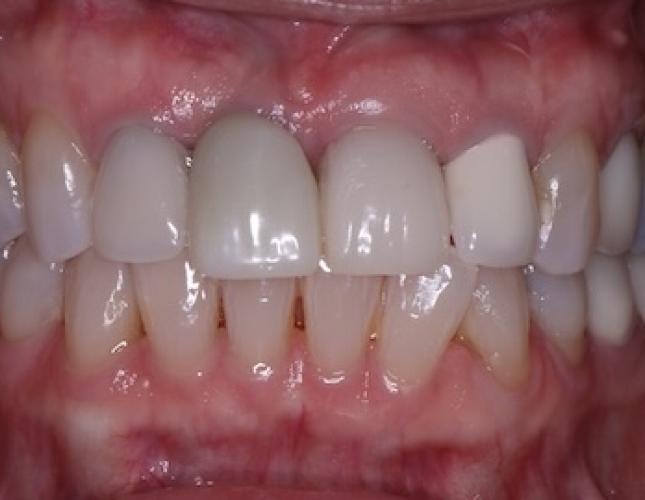
Patient loves her new smile! She didn't like the gray showing under her implant crown and that her front teeth were different colors and sizes. She says her teeth look like they did when she was younger!
Patient loves her new smile! She didn't like the gray showing under her implant crown and that her front teeth were different colors and sizes. She says her teeth look like they did when she was younger!